Oral Surgery
Expert surgical care from wisdom teeth extraction to complex jaw procedures — with precision and comfort.
Oral, Dental & Maxillofacial Surgery
Our oral surgery service covers a wide range of surgical procedures — from routine wisdom tooth extractions and surgical removal of impacted teeth, to more complex procedures such as jaw surgery, cyst removal, bone grafting for implants, and biopsies of oral lesions. Each case is planned using advanced 3D imaging to ensure safe, predictable outcomes.
We understand that the prospect of surgery can cause anxiety, which is why our team places enormous emphasis on patient comfort. We offer multiple anaesthesia options including local anaesthesia, IV sedation, and general anaesthesia in coordination with a specialist anaesthesiologist, ensuring you are fully comfortable and relaxed throughout your procedure.
Our oral surgeons collaborate closely with other dental specialists — including orthodontists, implantologists, and periodontists — to deliver comprehensive, multi-disciplinary care. Post-operative support and follow-up appointments are an integral part of every surgical treatment plan, ensuring smooth healing and complete recovery.
What to Expect
A carefully managed process from assessment to full recovery.
Clinical Assessment
We review your dental and medical history, take digital X-rays or a CBCT scan, and discuss the procedure in full — including anaesthesia options and what to expect before, during, and after surgery.
Pre-operative Preparation
You will receive detailed pre-operative instructions including fasting guidelines (if sedation is involved), medications to pause, and arrangements for transport home. Our team answers all your questions before the day.
Surgery
The procedure is carried out in our fully equipped surgical suite using sterile protocol. Your comfort is monitored throughout, and our surgeons work with precision and efficiency to minimise operating time.
Post-operative Care
You leave with a written aftercare plan, prescribed medications, and direct contact details for our team. Follow-up appointments confirm healing is progressing well and allow for suture removal where required.
Why Choose This Treatment
Specialist Surgical Expertise
Our oral surgeons are trained in complex dento-alveolar and maxillofacial procedures, bringing specialist-level skill to every case.
Advanced Imaging & Planning
3D CBCT scans allow precise surgical planning, reducing operative time and improving outcomes across all procedure types.
Comfort-First Approach
Multiple anaesthesia options, careful patient preparation, and an empathetic team ensure your experience is as calm and pain-free as possible.
Comprehensive Aftercare
Dedicated post-operative support, written aftercare instructions, and follow-up appointments are included in every surgical treatment plan.
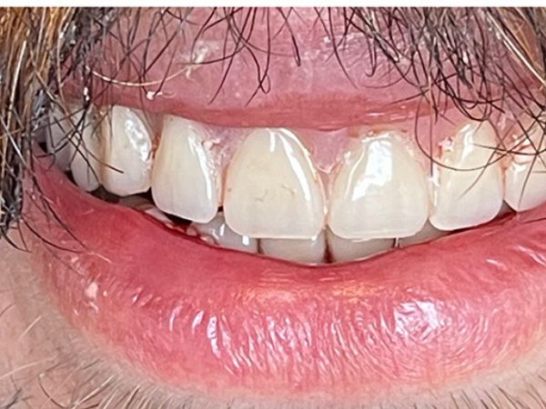
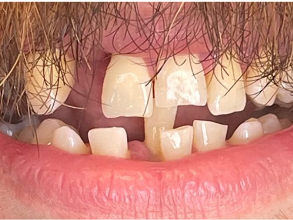
Before & After
Real results from real patients — images provided by the clinic.
Before
After
Common Questions About Oral Surgery
We perform a broad range of oral and maxillofacial surgical procedures including wisdom tooth extraction, surgical removal of impacted teeth, dental implant placement, bone grafting, sinus lifts, cyst and lesion removal, jaw surgery (orthognathic surgery), and frenectomies. Each case is assessed individually to determine the most appropriate approach.
We offer local anaesthesia for routine extractions, IV sedation for patients who prefer to be deeply relaxed and unaware during the procedure, and general anaesthesia (in collaboration with a specialist anaesthesiologist) for more complex or lengthy surgeries. We discuss the best option with you at your consultation based on the procedure and your preferences.
Recovery time depends on the procedure. Simple extractions typically allow a return to normal activity within 2–3 days. More complex surgeries such as wisdom tooth removal or bone grafting may require 5–10 days of reduced activity. We provide a detailed aftercare plan and are available for any questions during your recovery.
All surgical procedures carry some degree of risk, including swelling, bruising, bleeding, or temporary nerve sensitivity. Serious complications are rare when surgery is planned and performed by trained specialists using advanced imaging. We explain all relevant risks and benefits at your consultation so you can make a fully informed decision before proceeding.
Ready to Book Your Appointment?
Our specialists are ready to assist you. Get in touch today.